Ο Νίκος Ορφανός επέστρεψε στην Ελλάδα υγιής και γεμάτος αισιοδοξία, αφήνοντας πίσω του την περιπέτεια υγείας που βίωσε. Ο αγαπημένος ηθοποιός υποβλήθηκε σε χειρουργική επέμβαση στη Γερμανία για την αφαίρεση όγκου στον εγκέφαλο και πλέον αισθάνεται ευγνώμων.
Δήλωσε τυχερός που είχε στο πλευρό του τη σύζυγό του, Αντιγόνη Παφίλη, εκφράζοντας την ελπίδα πως η δική του εμπειρία θα προσφέρει δύναμη σε όσους αντιμετωπίζουν δύσκολες δοκιμασίες. Παράλληλα, έστειλε ένα δυνατό μήνυμα για τη σημασία της έγκαιρης πρόληψης στα θέματα υγείας, τονίζοντας πως η πρόληψη μπορεί να σώσει ζωές, κάτι που γνωρίζει πλέον από πρώτο χέρι.
Όπως ανέφερε ο Νίκος Ορφανός στην εκπομπή «Super Κατερίνα», η επιστροφή του στην Ελλάδα κύλησε ομαλά. Επιπλέον, εξέφρασε την ευγνωμοσύνη του για τη στήριξη που έλαβε από την οικογένειά του και τη σύζυγό του.«Αίσιο τέλος, όλα πήγαν καλά και τώρα ξανά σιγά σιγά επανερχόμαστε στην καθημερινότητα», δήλωσε αρχικά ο ηθοποιός.
«Μακάρι να δίνω δύναμη στον κόσμο. Ο καθένας πρέπει να βρίσκει τη δύναμη μόνος του, από πράγματα που τον βοηθάει και από ανθρώπους που τον αγαπάνε. Εμένα αυτό μου έδωσε πολύ μεγάλη δύναμη. Είχα δίπλα μου τους σωστούς ανθρώπους και τους εμπιστεύτηκα και με κράτησαν ψηλά», τόνισε στη συνέχεια.
«Δεν ήταν ανάγκη να ξέρουν οι συνάδελφοί μου και να μπουν σε ανησυχία, να με ρωτάνε και να με επηρεάζει όλο αυτό. Αυτά τα αντιμετωπίζω με θετική διάθεση, ψυχραιμία κι έχω απόλυτη εμπιστοσύνη στην επιστήμη, πιστεύω σε αυτή».
«Δεν μπορούσα να χάσω την ψυχραιμία μου, γιατί θα επηρέαζα και άλλους γύρω μου και θα λιποψυχούσαμε. Έγινε χαμός στα social, δεν το περίμενα. Όλοι έχουμε ανάγκη από λίγη θετικότητα και αγάπη και ανθρωπιά», είπε ο Νίκος Ορφανός.
Για τη σύζυγό του, Αντιγόνη Παφίλη, δήλωσε: «Χωρίς εκείνη δεν θα πετύχαινα τίποτα. Δεν πιστεύω στην τύχη μου κάθε μέρα που ξυπνάω και τη βλέπω δίπλα μου. Να έχουμε όλοι τέτοιους συνοδοιπόρους στη ζωή, γιατί έτσι γίνεται ωραιότερη».
Ο γνωστός ηθοποιός, ανέβασε την Δευτέρα (05.05.2025) ένα βίντεο στον προσωπικό του λογαριασμό στο Facebook, εξηγώντας το πρόβλημα με την υγεία του που τον ταλαιπώρησε. Ο Νίκος Ορφανός αποκάλυψε στους ακόλουθους του ότι νοσηλεύτηκε στη Γερμανία για 15 μέρες.

Όγκοι εγκεφάλου: Συμπτώματα και σύγχρονη αντιμετώπιση
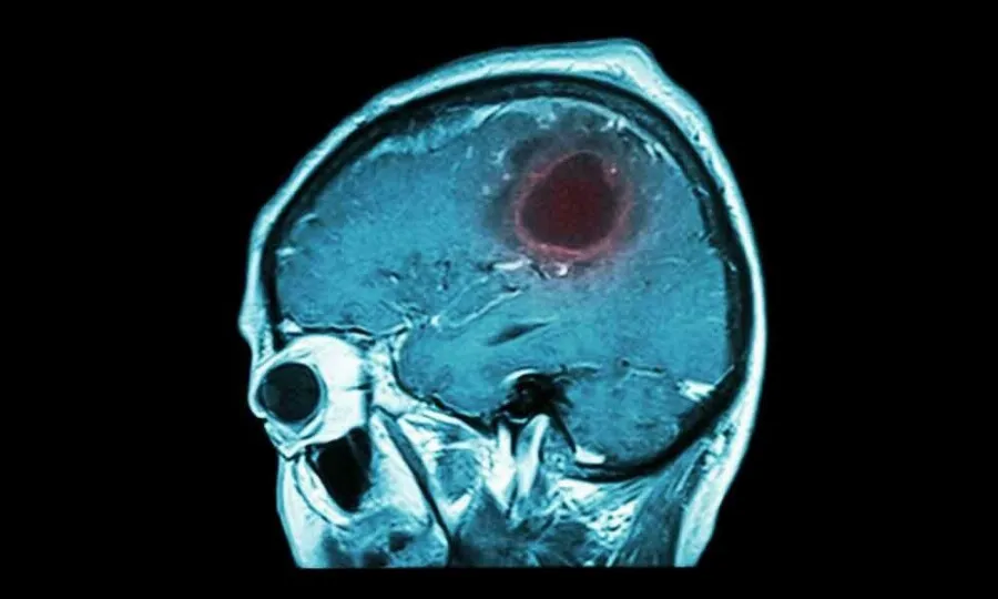
Οι όγκοι εγκεφάλου αποτελούν ένα από τα πιο συνήθη προβλήματα της νευροχειρουργικής. Μια πολύ απλή και ταυτόχρονα βασική διάκρισή τους είναι σε πρωτοπαθείς, που προέρχονται από τον ίδιο τον εγκέφαλο και τα περιβλήματά του, και σε δευτεροπαθείς, αυτούς που ουσιαστικά προέρχονται από όγκους που βρίσκονται σε άλλο σημείο του σώματος. Εξίσου σημαντική είναι η διάκρισή των πρωτοπαθών όγκων σε καλοήθεις και κακοήθεις, ενώ οι δευτεροπαθείς είναι εξ ορισμού κακοήθεις.
Όγκοι εγκεφάλου: Πώς καταλαβαίνω ότι υπάρχει περίπτωση να έχω;
Το συχνότερο σύμπτωμα των όγκων εγκεφάλου είναι ένα σταδιακά επιδεινούμενο νευρολογικό έλλειμμα, όπως αδυναμία ενός άκρου, πρόβλημα στη κατανόηση ή εκφορά λόγου (δυσφασία), αλλά και ο επιδεινούμενος πονοκέφαλος, μειωμένο επίπεδο συνείδησης, επιληπτικές κρίσεις κα. Ειδικά οι όγκοι υπόφυσης μπορούν να εκδηλωθούν με ενδοκρινολογικές διαταραχές. Πολλές φορές, οι όγκοι εγκεφάλου είναι τυχαία ευρήματα σε απεικόνιση για άλλο λόγο.
Όγκοι εγκεφάλου: Ποιες εξετάσεις χρειάζεται να γίνουν;
Συνήθως η αρχική διάγνωση γίνεται με αξονική τομογραφία, αλλά τις περισσότερες φορές για τον πλήρη χαρακτηρισμό μια βλάβης απαιτείται μαγνητική τομογραφία με ενδοφλέβιο σκιαγραφικό και ίσως ειδικές ακολουθίες. Κάποιες φορές (όπως σε όγκους υπόφυσης) αιματολογικές εξετάσεις είναι απαραίτητες. Τέλος, σε ορισμένες περιπτώσεις απαιτείται ακόμα και βιοψία της βλάβης, με την τελική διάγνωση να δίνεται από τον παθολογοανατόμο.
Αντιμετώπιση
Ποιες είναι οι σωστοί μέθοδοι προσέγγισης της κατάστασης;
Πρέπει να γίνει σαφές, ότι για την σωστή αντιμετώπιση των ασθενών με όγκο εγκεφάλου απαιτείται ολιστική αντιμετώπιση από ιατρική ομάδα που πρέπει να περιλαμβάνει νευρο-ογκολόγους, ακτινολόγους και ειδικά εκπαιδευμένους νευρολόγους, οι οποίοι με την συνεργασία τους μπορούν να επιτύχουν το καλύτερο δυνατό αποτέλεσμα για κάθε ασθενή εξατομικευμένα και για κάθε πρόβλημα που ενδεχομένως θα παρουσιαστεί. Είναι εξαιρετικά σημαντικό αυτή η ομάδα να συνεργάζεται βάσει κοινών πρωτοκόλλων και κοινής εκπαίδευσης και προσέγγισης στην σύγχρονη νευρο-ογκολογία, ώστε να επιτυγχάνεται το βέλτιστο αποτέλεσμα προς όφελος του ασθενή.
Είναι πολύ σημαντικό, από νευροχειρουργικής απόψεως, ο χειρουργός να είναι καταρτισμένος στις σύγχρονες μεθόδους, οι οποίες τα τελευταία χρόνια ελαχιστοποιούν την πιθανότητα βλάβης σε υγιή ιστό και το ενδεχόμενο πάσης φύσης επιπλοκών, ενώ παράλληλα αυξάνουν την πιθανότητα επιτυχούς αφαίρεσης ολόκληρων των εν λόγω όγκων (gross total removal). To Z’ Νευροχειρουργικό Τμήμα της Ευρωκλινικής Αθηνών πληροί όλες τις προδιαγραφές, διαθέτοντας παράλληλα όλο τον απαραίτητο εξοπλισμό για την αντιμετώπιση των πλέον απαιτητικών επεμβάσεων νευροχειρουργικής υψηλού επιπέδου, όπως νευροπλοήγηση (Neuronavigation), σύγχρονα μικροσκόπια και κατάλληλα εργαλεία που επιτρέπουν σύγχρονες μικροχειρουργικές τεχνικές.
Θεραπεία
Όγκοι εγκεφάλου: Ποια είναι η διαδικασία θεραπείας τους;
Ειδικά για τις περιπτώσεις εκείνες όπου οι όγκοι εγκεφάλου βρίσκονται πολύ κοντά σε ευαίσθητες περιοχές του εγκεφάλου, όπως ο κινητικός φλοιός ή τα κέντρα εκφοράς και κατανόησης του λόγου, το τμήμα μας διαθέτει επιπλέον μεθόδους και σύγχρονες τεχνικές που μπορούν να μας βοηθήσουν.
Τέτοιες σύγχρονες τεχνικές, οι οποίες μας επιτρέπουν πλέον να ελαχιστοποιούμε την πιθανότητα νευρολογικής βλάβης και να αφαιρούμε επιτυχώς όγκους εγκεφάλου, αποτελούν η χαρτογράφηση εγκεφάλου (BrainMapping – SpeechandMotorMapping) και η AwakeCraniotomy (Κρανιοτομία για αφαίρεση όγκου με τον ασθενή εν εγρηγόρση).
Αυτές οι τεχνικές εφαρμόζονται στα μεγαλύτερα κέντρα των Ηνωμένων Πολιτειών και πλέον στην Ελλάδα και από το Ζ’ Νευροχειρουργικό Τμήμα του νοσοκομείου μας.
Συμπεράσματα
Τι σημαίνουν αυτές οι τεχνικές για τον ασθενή;
Ο ασθενής έχει την δυνατότητα να αξιοποιήσει το πλεονέκτημα της τεχνικής Awake Craniotomy, η οποία διενεργείται βάσει του πρωτοκόλλου που εφαρμόζεται στο Memorial της Νέας Υόρκης, με σκοπό να επιτευχθεί το βέλτιστο δυνατό αποτέλεσμα. Σε συνδυασμό με την χαρτογράφηση εγκεφάλου ο νευροχειρουργός έχει την ευκαιρία να γνωρίζει με απόλυτη ακρίβεια πού βρίσκονται σε σχέση με τον όγκο οι περιοχές του εγκεφάλου, οι οποίες είναι λειτουργικές και πρέπει να προστατευθούν, έτσι ώστε η αφαίρεση νεοπλασιών να γίνεται με ασφάλεια και χωρίς μετεγχειρητικά νευρολογικά ελλείμματα.
Με τις ανωτέρω τεχνικές και με την βοήθεια ακτινοδιαγνωστικών μεθόδων όπως η Λειτουργική Μαγνητική Τομογραφία (fMRI), μπορούμε σε συνεργασία με άλλες ειδικότητες να επιτύχουμε αποτελέσματα, τα οποία πριν από κάποια χρόνια δεν θα ήταν εφικτά.
Οι τεχνικές αυτές ξεφεύγουν της συνήθους νευροχειρουργικής πρακτικής και συνήθως απαιτείται εκπαίδευση σε εξειδικευμένα κέντρα του εξωτερικού, όπου ένας νευροχειρουργός μπορεί να αποκτήσει τις απαραίτητες παραστάσεις αλλά και να σωρεύσει την αναγκαία εμπειρία για τη χρήση τους.
Η εξειδίκευση της ιατρικής ομάδας στις σύγχρονες μεθόδους, οι οποίες τα τελευταία χρόνια ελαχιστοποιούν την πιθανότητα βλάβης σε υγιή ιστό και το ενδεχόμενο πάσης φύσης επιπλοκών, αυξάνουν την πιθανότητα επιτυχούς αφαίρεσης ολόκληρων των εν λόγω όγκων (gross total removal), επιτυγχάνοντας το βέλτιστο αποτέλεσμα προς όφελος του ασθενή.
Διαβάστε στο Thedaily.gr Eγxειpiστnκε για oγκo στον εγκέφαλο ο Νίκος Ορφανός: Τα Yπouλα σuμπτώματα και η σύγχρονη αντιμετώπιση | σε συνεργασία με Dropmedia.gr

